Ir al contenido principal

Luxación de rótula 

Caso Clínico de la Dra. Cheyenne Carrera Cuellar 

 

PRESENTACIÓN DEL CASO

Arabella Torres, de 16 años de edad, acude a Urgencias tras una mala caída patinando y un posterior golpe en la rodilla izquierda contra el hielo. Se encuentra consciente, orientada y colaboradora. Constantes estables, pero refiere dolor en la rodilla en reposo y al movimiento; aunque este es muy limitado. No se observan quemaduras por el roce con el hielo, pero si un hematoma, inflamación al tacto y una cierta deformidad en la zona.

 

En su historial clínico consta que sufre de patela alta y pie plano, ambos actualmente en tratamiento.

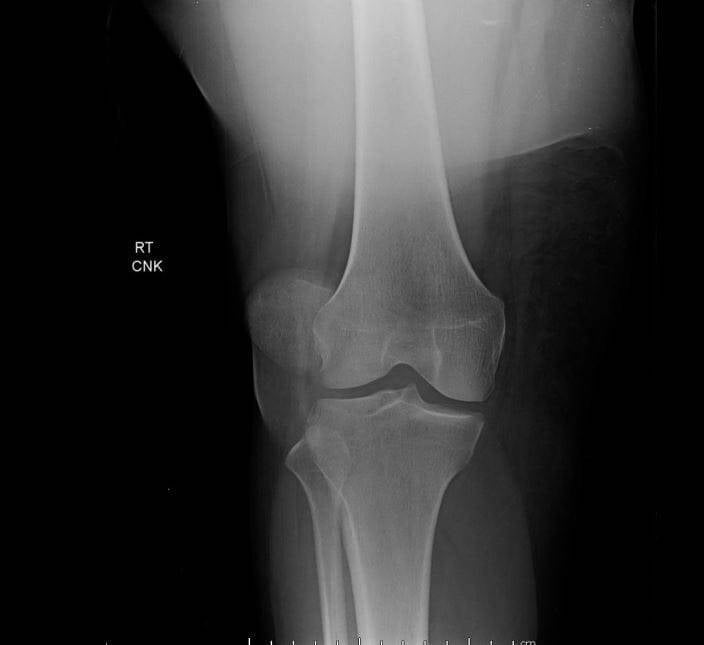
Se le hace una radiografía para descartar fracturas y dado su historial, se la deriva al traumatólogo de guardia, que recomienda la realización de una resonancia magnética. Los resultados muestran cierto desgaste en los meniscos; además de un leve desgarro en el ligamento patelofemoral medial.

Preguntas tipo test: La patología que presenta esta paciente se conoce como...

A) Esguince de rodilla

B) Luxación de rótula

C) Tendinitis rotuliana

D) Rotura de menisco interno

 

Respuesta correcta: B

Explicación: La respuesta correcta es la B). En la luxación de rótula, esta se desplaza respecto a su posición anatómica y deja de estar alineada con el fémur. Puede quedarse desplazada o volver a su posición original con un poco de deformacion, como ha pasado en este caso. Los sintomas son dolor agudo, hinchazón, hematoma y movilidad limitada. Suele deberse por contusiones directas o por la contracción brusca del cuadriceps que afecta al tendon del cuadriceps, al ligamento rotuliano o al ligamento patelofemoral medial. El desgaste en los meniscos también puede ser por la luxación, aunque es muy raro la primera vez, por lo que en este caso lo asociamos a patologías previas.

 

A) En un esguince se lesionan los ligamentos que estabilizan la rodilla, normalmente el colateral medial o lateral interno y el cruzado anterior. Podía ser, porque la causa es un traumatismo o movimiento violento; y porque concuerdan la mayoría de los síntomas, excepto el espasmo muscular y derrame articular. C) En una tendinitis rotuliana, también llamada “rodilla del saltador”, se inflama el tendón rotuliano que es el que une la rotula con la tibia. Los síntomas concuerdan, aunque puede haber hinchazón/enrojecimiento o no; y también la mayoría de las causas, excepto la flexo-extensión repetida y sobrecarga y desgaste del tendón. D) El menisco es un cartílago entre la tibia y el fémur. En una rotura de menisco, las causas concuerdan con las de la luxación y los síntomas también, excepto el derrame articular y el hecho de que se puede escuchar un chasquido al momento. Aunque tampoco podría ser, porque se habría visto en la resonancia.

DESCRIPCIÓN DE LA PATOLOGÍA

La luxación de rótula es el tipo de luxación más frecuente de la rodilla y consiste en su desplazamiento respecto a su posición anatómica, que es la zona anterior del fémur. La rótula se desliza de manera lateral  y el cóndilo medial del fémur se proyecta más anteriormente que el lateral. La prueba de aprehensión es utilizada para determinar si el paciente tuvo una luxación rotuliana previa. Es incorrecto generalizar y llamarla luxación de rodilla, porque hay varios tipos de esta que son la luxación anterior de rodilla, posterior, interna y externa; y por rotación de la tibia sobre el fémur. No por esto es menos grave que los mencionados anteriormente y aunque en muchos casos, la rótula regresa a su surco troclear por sí sola (autoreducción), esta luxación a menudo resulta en lesiones de ligamentos, cartílagos y huesos. 

La rótula o patela, es el hueso sesamoideo más grande del cuerpo; ubicado en la zona anterior sobre el tendón del cuádriceps. De su vértice parte el ligamento rotuliano; y el ligamento patelofemoral medial es el que forma parte del retináculo medial y conecta la porción medial de la rótula con el fémur. Este último es el que más se lesiona, siendo menos común las lesiones en el ligamento rotuliano y en el tendón del cuádriceps. Su funciones son la extensión de la rodilla, los movimientos finos durante la flexión/extensión de la rodilla y protege a la superficie anterior de la rodilla.

 

La incidencia de episodios de luxación de rótula en la población comprendida entre los 10 y los 17 años es de 29 casos por cada 100.000 habitantes; dándose más en mujeres y deportistas. En la mayoria de los casos la luxación es externa y tras el primer episodio, el porcentaje de recurrencia tras tratamiento conservador se encuentra entre un 15 y un 44%. En España se ha estimado que 1 de cada 20.000 la ha padecido y que suele ocurrir antes de los 20-30 años.

FACTORES DE PREDISPOSICIÓN 

Hay ciertos factores que en combinación con un movimiento leve de rotación o un mínimo impacto, pueden resultar en la luxación de la rótula. La dislocación puede hacer que se desgarre  el ligamento patelofemoral medial y es posible que ocasione daños en el cartílago retropatelar y fractura del tejido óseo

  • Desequilibrio entre los tejidos estabilizadores laterales.
  • Desalineación del eje de la rótula: aumento del ángulo Q, rodillas en valgo, rótula alta, hiperextensión de rodilla, inserción del tendón rotuliano demasiado lateralizada, pie plano y valgo.
  • Debilidad general del tejido conectivo, también conocida como hiperlaxitud.
  • Alteraciones biomecánicas: rotación tibial externa excesiva, rotación interna del fémur.
  • Displasia troclear, que es la formación incorrecta del surco de deslizamiento de la patela en el fémur.
  • Displasia de la patela, que es una anormalidad en la superficie articular tróclea entre el fémur y la rótula.

CAUSAS

Las causas principales por las que se da esta lesión, además de los factores predisponentes que hemos mencionado previamente; son: 

  • Exceso de movimiento del tendón del cuádriceps, del ligamento rotuliano o del ligamento patelofemoral.
  • Contusiones directas sobre la rótula, mala caída con posterior traumatismo o un giro brusco. Aunque hay personas que no necesitan sufrir un traumatismo para lesionarse la rótula.

SÍNTOMAS

Los síntomas suelen depender de si se ha dado una luxación previa o del modo en el que haya sido la misma; pero por lo general son los siguientes:

  • Dolor
  • Inflamación
  • Limitación de la movilidad
  • Deformidad de la rodilla

 

DIAGNÓSTICO

Si la patela todavía está dislocada, el diagnóstico se puede realizar con la vista. Si este no es el caso, una anamnesis y examen físico detallados, son claves para un buen diagnóstico.

Para el examen físico, se ejerce una presión lateral sobre la rótula empujándola así hacia afuera; que es la prueba de aprehensión rotuliana. Si el paciente muestra una postura defensiva o si el músculo del cuádriceps o reacciona intensamente, es signo de dislocación. También tenemos los estudios de imagen como la radiografía y la resonancia magnética (más precisa), que ayudan a examinar mejor la articulación de la rótula y sus estructuras circundantes; dándonos información sobre las posibles causas y evidencia de lesiones asociadas.

En casos donde estos estudios ofrezcan una información dudosa, también será necesaria una artroscopia diagnóstica en la que además el cirujano puede extraer fragmentos rotos de hueso o cartílago y reparar el daño al cartílago si hubiera.

TRATAMIENTO

  • Convencional:

Si la rótula no ha recuperado su posición, la reducción manual suele ser un abordaje terapéutico suficiente si esta se ha salido por primera vez y queconsiste en extender lentamente la pierna en la rodilla y guiar con cuidado la rótula a su posición anatómica; no sin antes haberle dado algún fármaco analgésico o sedante para que no perciba dolor y antiinflamatorios para que vaya bajando la hinchazón. Tanto en ese caso como si la patela hubeira vuelto a su posición por si sola, se indica llevar un férula o vendaje especial durante tres a cuatro semanas que estabilizará la pierna en extensión y después se indica fisioterapia para rehabilitar el aparato extensor lesionado y asegurar que no ocurran recidivas.

Se recomienda mantener la pierna elevada y aplicación de hielo, además de la medicación que le haya preescrito el médico.

 

  • Quirúrgico:

La cirugía para la luxación de la rótula puede ser complicada, ya que se de haber tenido más de una luxación y esta sea necesaria para que no vuelva a luxarse y se tenga una mejor recuperación a largo plazo. El tipo de cirugía dependerá de el examen físico y los resultados de las técnicas de diagnóstico por imagen. Si hay daños extensos en el cartílago, desgarros en los ligamentos estabilizadores, defectos en el aparato de sujeción o si se separa un fragmento de tejido óseo subcondral, se debe relizar cirugía. Existen variedad de técnicas quirúrgicas para solucionar correctamente esta lesión, con el objetivo de reducir la tensión lateral sobre la rótula y así reducir el riesgo de dislocación. La cirugía artroscópica suele ser suficiente en muchos casos, para actuar en la reconstrucción del ligamento desgarrado (frecuentemente el ligamento patelofemoral medial), desplazamiento del tendón rotuliano, trocleoplastia y osteotomía del eje de la pierna. 

Independientemente de la opción quirúrgica elegida, la rehabilitación posquirúrgica es vital por lo que se indica la fisioterapia para lograr la recuperación funcional total de la articulación intervenida.

 

 

PREVENCIÓN DE LA LUXACIÓN DE RÓTULA

Es díficil de prevenir ya que se trata de una lesión rápida e inesperada; aunque si presenta alguno de los factores de predisposión es necesario un entrenamiento dirigido a los músculos que estabilizan la rodilla. Estos son algunos ejemplos:

  • Realice estiramientos de la región lateral del cuádriceps, la banda iliotibial y los isquiotibiales.
  • Fortalezca los músculos de la parte superior de las piernas de manera uniforme y realiza entrenamiento propioceptivo.
  • Si eres una persona activa, consulta con un fisioterapeuta para asegurarte de que estás practicando deporte de la forma correcta.
  • Si ya has sufrido lesiones en las rodillas con anterioridad, busca el tratamiento oportuno y adecuada.
  • Si presentas inestabilidad rotuliana o algún factor que puede promover esta afección, se recomienda usar rodillera o un vendaje adhesible. 

 

BIBLIOGRAFÍA

1.Farmalastic PE. Principales lesiones de rodilla [Internet]. Farmalastic: en constante movimiento | Laboratorios CINFA. [citado 29 de octubre de 2023]. Disponible en: https://farmalastic.cinfa.com/blog/lesiones-de-rodilla 

2.Arnal J. Luxación de Rotula - Juan Arnal: Traumatologo en Madrid [Internet]. Juan Arnal: Traumatologo en Madrid. Juan Arnal; 2019 [citado 29 de octubre de 2023]. Disponible en: https://traumatologomadrid.es/luxacion-de-rotula/ 

3.Fisiosalum. Luxación rotuliana, causas y tratamientos [Internet]. Fisiosalum. 2018 [citado 29 de octubre de 2023]. Disponible en: https://www.fisiosalum.es/luxacion-rotuliana-causas-tratamientos/ 

 4.Wikipedia contributors. Rótula [Internet]. Wikipedia, The Free Encyclopedia. [citado 29 de octubre de 2023] Disponible en: https://es.m.wikipedia.org/wiki/R%C3%B3tula

5.Narbona PA, Masquijo J, Barclay F. Anatomía del Ligamento Patelofemoral Medial (LPFM) [Internet]. Revistaartroscopia.com. [citado 29 de octubre de 2023]. Disponible en: https://www.revistaartroscopia.com/ediciones-anteriores/62-volumen-05-numero-1/volumen-19-numero-3/411-anatomia-del-ligamento-patelofemoral-medial-lpfm 

6.Rótula (patela) [Internet]. Kenhub. [Citado 29 de octubre de 2023] Disponible en: https://www.kenhub.com/es/library/anatomia-es/rotula-patela 

7.Junquera I. Luxación de rótula [Internet]. Fisioterapia-online.com. FisioOnline; [citado 29 de octubre de 2023]. Disponible en: https://www.fisioterapia-online.com/luxacion-de-rotula-rotuliana-que-es-causas-sintomas-diagnostico-tratamiento

8.Pérez A. Conoce cuáles son las causas que provocan una luxación de rótula en tu rodilla [Internet]. Clinica Toa. 2023 [citado 2 noviembre de 2023]. Disponible en: https://www.clinicatoa.com/post/conoce-cu%C3%A1les-son-las-causas-que-provocan-una-luxaci%C3%B3n-de-r%C3%B3tula-en-tu-rodilla 

9.Campagne D. Luxación de rodilla [Internet]. Manual MSD versión para público general. [citado 2 de noviembre de 2023]. Disponible en: https://www.msdmanuals.com/es-es/hogar/traumatismos-y-envenenamientos/luxaciones/luxaci%C3%B3n-de-rodilla 

10.Luks H. Luxación de rótula: es más común de lo que piensas [Internet]. Physio Network. 2019 [citado 2 de noviembre de 2023]. Disponible en: https://www.physio-network.com/es/blog/luxacion-de-rotula-es-mas-comun-de-lo-que-piensas/  

 

Crea tu propia página web con Webador